Ультразвуковая система Vivid S70 GE HealthСare – аппарат экспертного класса с поддержкой объемной чреспищеводной эхокардиографии. Данная модель сочетает в себе проверенные широкие возможности и производительность продуктов линейки Vivid, с новым и инновационным программным обеспечением на базе платформы для обработки изображения. Помимо исследований в области взрослой кардиологии, ультразвуковая система Vivid S70, может использоваться при исследованиях коронарных артерий, сердца плода, периферических сосудов, транскраниальных исследованиях детей и взрослых, опорно-двигательного аппарата, нервов, малых органов и других.

Особенности

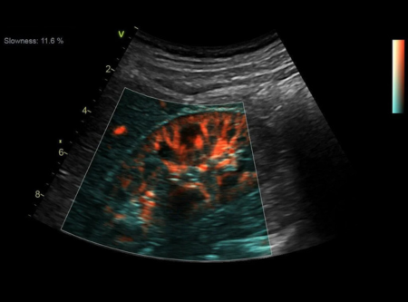
Расширенный функционал и преимущества искусственного интеллекта, реализованные в эхокардиографической системе Vivid S70, дают высокое качество изображений в двумерном и допплеровском режимах, что повышает достоверность проводимой диагностики.

Кардиологический автодопплер

Модуль интерфейса внутрисердечного датчика

Автоматическая оценка и цветовое кодирование синхронности сокращения, деформации и скорости деформации миокарда

Режим AFI цифровой недопплеровской качественной и количественной оценки региональной и глобальной сократительной функции ЛЖ

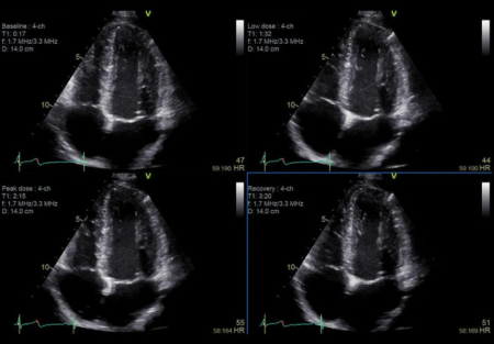
Модуль программ для проведения стресс-эхо исследований

4D Auto AVQ модуль автоматического выравнивания, сегментации и обсчета размеров кольца аортального клапана по объемным данным с ЧП-датчика

Поддержка работы датчиков с технологией XDclear

Характеристики

  • Монитор с высоким разрешением 21,5"
  • 4 разъема для подключения датчиков
  • Подключение системы к сети и DICOM серверу
  • Редактор отчетов
  • Технология подавления зернистости
  • Автоматическая оптимизация
mail
Нужна помощь?

Наша команда специалистов всегда готова
Вам помочь