Artis Q - предлагает приложения для кардиологии, интервенционной радиологии и хирургии с визуальным контролем и поддерживает гибкую настройку, широкий диапазон возможностей конфигурации, гибкое использование помещения для нескольких процедур. Благодаря платформе PURE вы можете получать, просматривать и манипулировать 3D изображениями, а также КT-подобными изображениями.

Artis Q доступна в напольном, потолочном и биплановом исполнении.

Качество изображения
Medium - 150 DPI-SH_AX_36090_13_V1.jpg


Новая рентгеновская трубка GIGALIX с оптимизированным рентгеновским импульсом помогает снизить излучение до 60% по сравнению с трубкой предыдущего поколения. Конструкция с водяным охлаждением отвечает жёстким гигиеническим требованиям в гибридных операционных и поддерживает стабильно высокое качество изображения даже при длительных процедурах.

Medium - 150 DPI-SH_AX_36996_13.jpg


Новый большой детектор HDR предлагает широкий динамический диапазон для улучшения разрешения мягких тканей в 3D-изображениях плюс лучшее качество изображения при меньшем излучении. Комбинация истинной 16-битной цепочки изображений и мощная трубка GIGALIX делает возможным визуализировать сложные анатомические структуры.

at_artis_q_brochure_hood05162002916191_152081543.png


Технологии CARE + CLEAR для четких изображений и низких доз.

 
Средства точной навигации 
at_artis_q_brochure_hood05162002916191_1520815436.png


Программное обеспечение CLEARstent Live   в режиме реального времени проверяет положение стента при перемещении устройства, нивелируя влияние движения сердца. В результате процедура ускоряется и экономится контрастное вещество.

at_artis_q_brochure_hood05162002916191_1520815431.png


Опция syngo DynaPBV Body для трехмерной функциональной визуализации показывает распределение крови в ткани с помощью цветных кодированных карт объема поперечного сечения и качественных измерений объема крови. Оцените перфузию для персонализированной терапии.

at_artis_q_brochure_hood05162002916191_1520815437.png


Опция syngo DynaCT Micro предлагает 3D-изображения высокого разрешения, повышает уровень детализации с помощью каждого пикселя детектора. Пространственное разрешение увеличено на 40% по сравнению со стандартным syngo DynaCT.

at_artis_q_brochure_hood05162002916191_1520815483.png


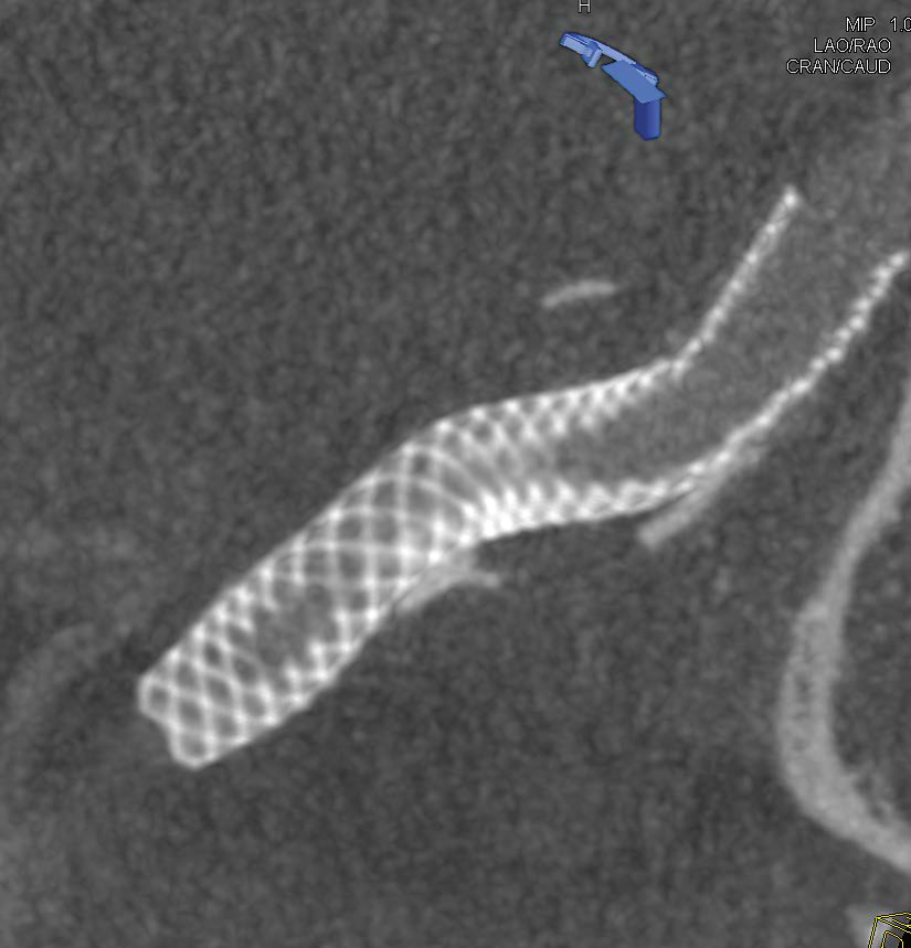
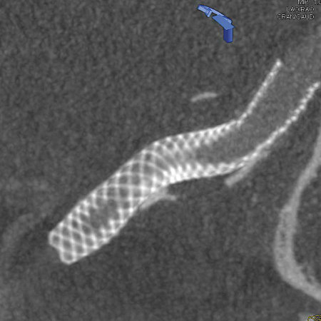
Опция Syngo DynaCT с новым большим детектором HDR показывает улучшенное разрешение мягких тканей и высококонтрастных предметов, таких как стенты, клипсы, кости и наполненные контрастом сосуды.

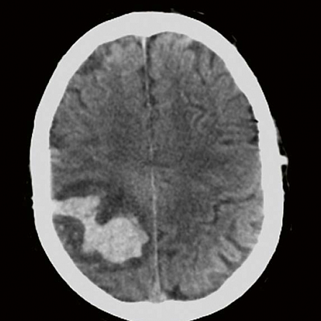
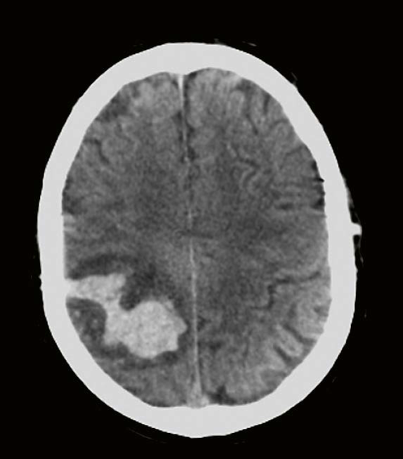
Опция syngo DynaCT SMART помогает увеличить диагностическую достоверность путём увеличения частоты визуализации осложнений, таких как кровотечения вблизи к металлическим клипсам, которые используются для лечения аневризм головного мозга.

 

at_artis_q_brochure_hood05162002916191_1520815432.png


Автоматическое обнаружение катетера и сосуда. Простое решение в один клик с настольным управлением.

at_artis_q_brochure_hood05162002916191_1520815453.png

Мультимодальная интеграция, которая не требует внутрипроцедурного 3D сканирования. Наложение информации из других модальностей с помощью syngo 3D Roadmap или возможность использования приложения syngo Toolbox с существующим трехмерным набором данных.

at_artis_q_brochure_hood05162002916191_1520815434.png

Автоматическая сегментация корня аорты и визуализация анатомических ориентиров в секундах. Автоматическое позиционирование C-дуги в ортогональной проекции без рентгеноскопии. Улучшенное наведение за счет наложения контура аорты и ориентиров на живое 2D-изображение.

at_artis_q_brochure_hood05162002916191_1520815433.png


Автоматическое обнаружение стенки аорты и всех разветвленных сосудов.

 

Варианты исполнения
at_artis_q_brochure_hood05162002916191_1520815439.png

Обеспечивает оптимальный доступ к пациенту. Продольное потолочное перемещение предлагает максимальное покрытие. InFocus поддерживает угол проекции во время поворот стойки, IsoTilt  - угол проекции во время наклона стола и StraightView  - вертикальные изображения для всех позиций С-дуги и стола.

Medium - 150 DPI-SH_AX_36854_13_V1.jpg

Система поддерживает два изоцентрических положения изображения. Это обеспечивает оптимальный доступ к голове пациента для анестезии, а также обширное покрытие в биплановом режиме визуализации.

Medium - 150 DPI-SH_AX_36679_13_V1.jpg

Гибкое позиционирование C-дуги относительно стола освобождает доступ к левой стороне пациента. StraightView поддерживает вертикальные изображения для всех позиций C-дуги и стола. Высокая гибкость позиционирования при очень маленькой занимаемой площади.

 
 Дополнительные аксессуары

at_artis_q_brochure_hood05162002916191_1520810543.png

Разработан для легкого доступа пациента, превосходного позиционирования, и обширного охвата тела. Благодаря рентгенпрозрачной свободно плавающей столешнице, которая позволяет получать изображения без артефактов, особенно хорошо подходит для процедур в сердечной и сосудистой хирургии.

 
at_artis_q_brochure_hood05162002916191_1520841543.png

Большой 9-, 18- или 24- канальный дисплей Artis.


mail
Нужна помощь?

Наша команда специалистов всегда готова
Вам помочь