Artis zee MP - это проверенная и надежная система, которая обеспечивает оптимальное качество изображения при минимальной дозе, позволяя проводить ангиографию, рентгеноскопию и рентгенографию в одной комнате.

Благодаря обширному диапазону применений и гибкости позиционирования Artis zee МР вы сможете выполнять ангиографические процедуры, которые раньше были невозможны.

Качество изображения
Medium - 150 DPI-AT_Artis_zee_Pure01_IMAGE_18.jpg


Artis zee MP оснащен передовой технологией визуализации, уникальными инструментами управления дозами и новейшими клиническими приложениями на основе инновационной платформы PURE.

ir_artis_zee_mp_product_brochure_artis_zee_multi_purpose_with_pure7.png


Artis zee MP дает вам гибкость и уверенность, необходимые как для рутинных, так и для сложных процедур, для решения разнообразных задач в 2D и 3D форматах.

Medium - 150 DPI-AT_Artis_zee_Pure13_IMAGE_18.jpg


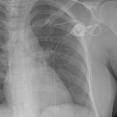
Плоский детектор HDR с высоким динамическим диапазоном и рентгеновская трубка MEGALIX Cat Plus идеально подходят для процедур интервенционной радиологии и нейрорадиологии, улучшая качество 3D-изображений.

 
Оптимальная доза.
at_ir_internet_image_detector_1440x1080-04771611_8.jpg


Обладая более толстым слоем йодида цезия, чем обычные детекторы, детектор HDR повышает эффективность дозы. Это приводит к повышению контрастного разрешения даже при лечении пациентов с ожирением.

at_ir_internet_image_5-parameter_aec_1440x1080-04771607_8.jpg


Автоматический контроль экспозиции (AEC) регулирует пять параметров в зависимости от угла наклона С-образного рычага. Это поддерживает оптимальный баланс между качеством изображения и дозой при любых углах наклона трубки во время процедуры.

ir_artis_zee_mp_product_brochure_artis_zee_multi_purpose_5.png


Комбинированные приложения Care + CLEAR уменьшают шум, повышают резкость изображения и компенсируют артефакты движения для ангиографических, рентгеноскопических и рентгенографических процедур.

 

Клиническое применение.

Artis zee MP предлагает самое обширное системное портфолио для удовлетворения ваших конкретных потребностей в наборе angio от рутинных интервенционных процедур до новых инновационных эндоваскулярных и чрескожных методов лечения.

ir_artis_zee_mp_product_brochure_artis_zee_multi_purpose_with_pure_152091371.png


Интервенционная радиология.

ir_artis_zee_mp_product_brochure_artis_zee_multi_purpose_with_pure_11.png


Флуороскопия

ir_artis_zee_mp_product_brochure_artis_zee_multi_purpose_with_pure_1371.png


Радиография.

 

Гибкость позиционирования.
Medium - 150 DPI-AT_Artis_zee_Pure09_IMAGE_18.jpg


Наклон стола 90 градусов.

Medium - 150 DPI-sm18550_AX_07_ret03.jpg


Позиционирование С-дуги.

Medium - 150 DPI-AT_Artis_zee_Pure_IMAGE_18.jpg


Моторизированная столешница.

 

Комфорт работы врача.
Medium - 150 DPI-AT_Artis_zee_Pure15_IMAGE_18.jpg


Пульт управления на тележке.

Medium - 150 DPI-sm18196_AX_07.jpg


Кнопки управления детектором.

Medium - 150 DPI-sm14320_AX_05.jpg

Ускорьте свои рабочие процессы с индивидуально настраиваемым беспроводным ножным переключателем.

Рабочая станция
Medium - 150 DPI-SH_AX_33741_11_ret.jpg

Рабочая станция Artis Cockpit предлагает больше эффективности, чтобы вы могли сосредоточиться на ваших процедурах и пациентов.


   

  

mail
Нужна помощь?

Наша команда специалистов всегда готова
Вам помочь